A Stress-Free Approach To ORTHODONTIC CarE
- Cutting-Edge Treatment Options: We offer the latest advancements in orthodontic technology, including invisalign.
- Expert Orthodontic Specialists: Our team comprises experienced perofessionals dedicated to delivering exceptional care & results.
- Personalized Patient Care: treatment plans are tailored to each individual’s unique needs, ensuring an informed, comfortable & effective orthodontic experience.








Our priority is to have a thorough consultation to discuss your expectations and treatment choices, before creating a detailed treatment plan. These can range from simple removable appliance, to advanced fixed appliances (Damon braces) and complex aligner treatment (Invisalign).
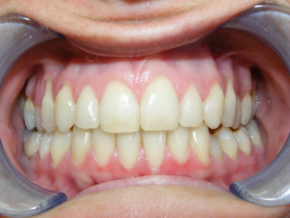
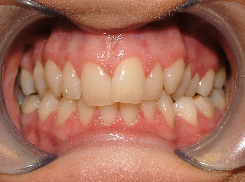
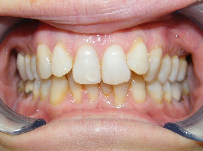
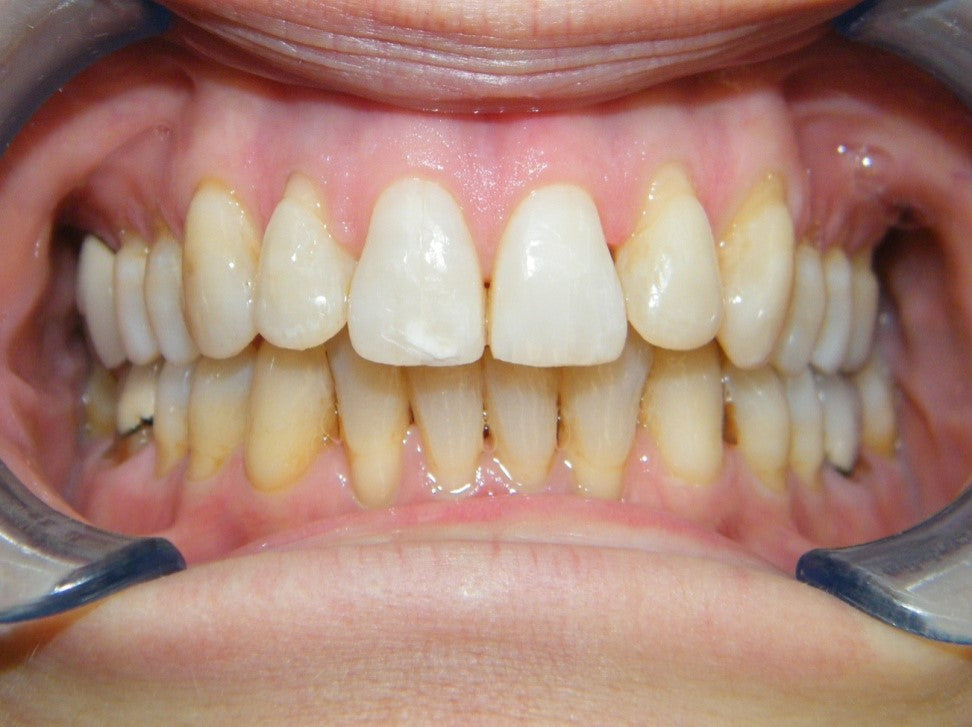
Your treatment will be individualised to your requirements, showing you similar previously successfully treated cases. Treatment options will be discussed in detail and clearly to enable you to make an informed decision.
Treatment times range from 6 months to 2 years depending on the complexity of treatment.
Only very complex treatment exceeds 2 years.
Discomfort or soreness is common after orthodontic adjustments, especially in the first few days following the placement of braces or aligners. However, this discomfort is usually mild and can be managed with over-the-counter pain relievers if needed. As your mouth adjusts to the braces or aligners, any discomfort typically diminishes.
We see patients of all ages, some start as early as 7-8 years and we have completed simple treatments for 70-75 year olds.
It is generally accepted that children should have an orthodontic examination between the ages of 9-11 years to evaluate their dental development.
In adults it is best to have an orthodontic opinion prior to embarking on any major restorative dentistry (bridges and implants) to ensure that the environment for the restorative work is suitable.